Zum Hauptinhalt springen

Harnleiter
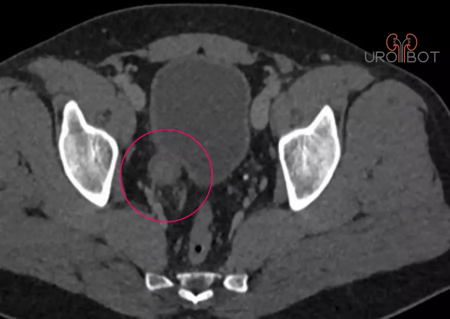
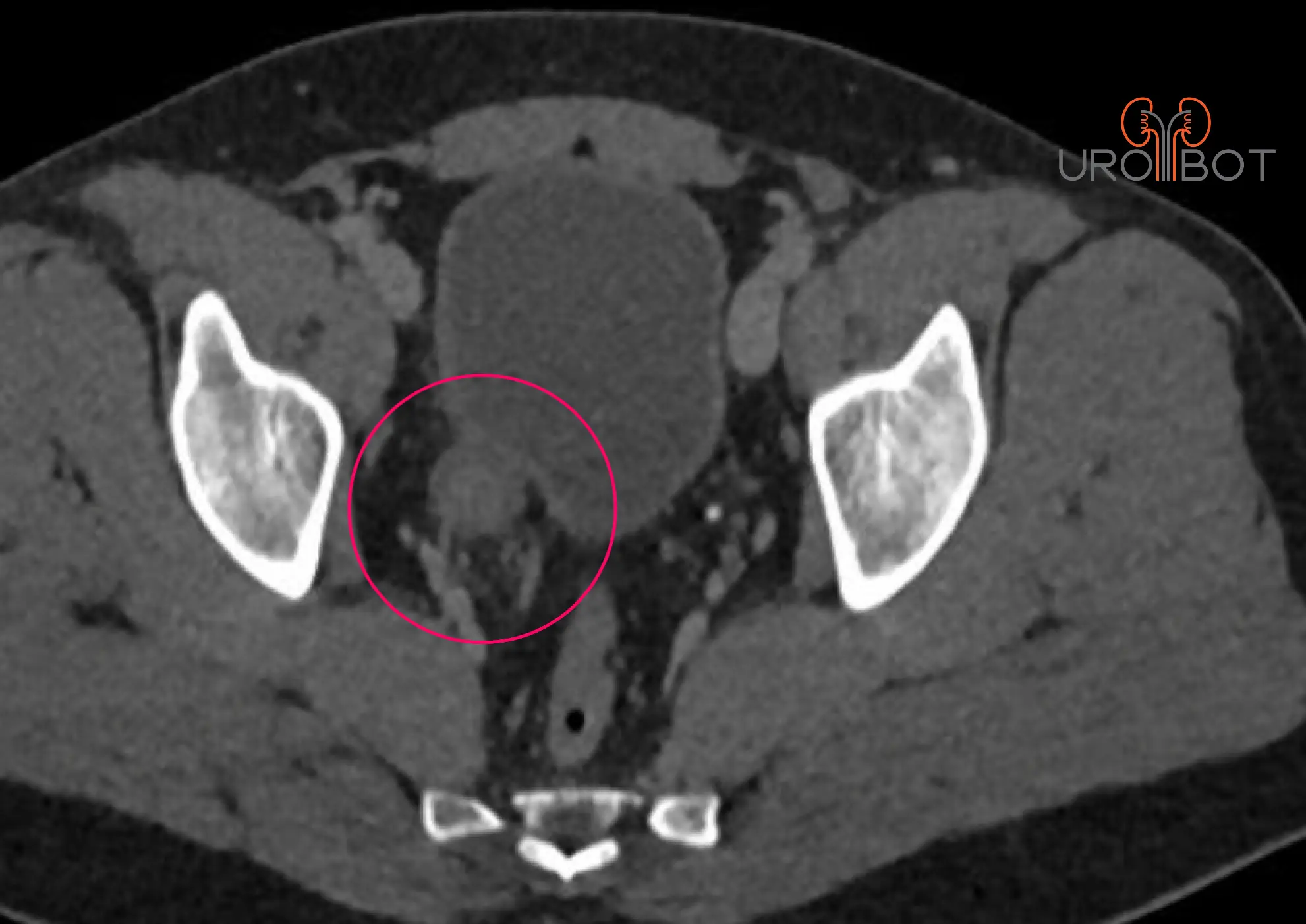
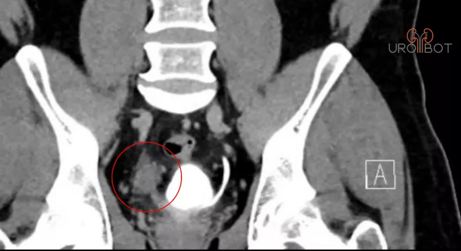
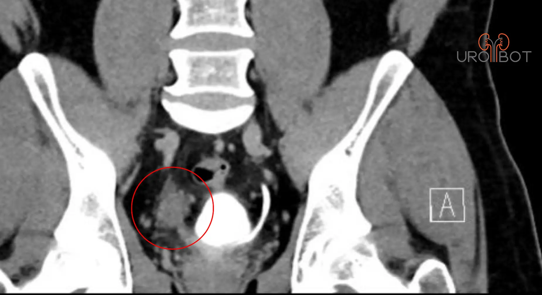
Harnleiterkarzinom

urologebottrop - Dr. med. Mirko Müller
Was wird gemacht
  • Klinische Untersuchung
  • Sonographie
  • Retrograde Ureteropyelographie
  • Starre und flexible diagnostische Ureteroskopie mit Biopsie
  • Flexible diagnostische Pyeloskopie mit Biopsie und Laserung
  • Operative Therapie
    • daVinci Harnleiterteilresektion
      • End-zu-End-Anastomose
      • Teilresektion mit Psoas-Hitch
      • Teilresektion mit Boari-Plastik
    • daVinci Harnleiterersatz
    • daVinci Nephroureterektomie
  • Medikamentöse Therapie

OP-Video von Dr. Müller

Achtung Altersbeschränkung
daVinci Video Blasenmanschette - Uro-Bot.de
Beschreibung

Bei einer Harnleiterteilresektion wird ein Teil des Harnleiters entfernt, weil er zum Beispiel durch einen Tumor befallen ist oder wegen einer Verengung nicht mehr durchgängig ist.

In Abhängigkeit der Lage im Harnleiter kann die Blase "verlängert" und hochgezogen werden oder der Harnleiter wird durch ein Stück Darm ersetzt.

Das nachfolgende Video einer durch Dr. Mirko Müller gemachten Operation am Knappschaftskrankenhaus in Bottrop demonstriert in kurzen Operationssequenzen wie eine solche Operation durchgeführt wird.

OP-Video von Dr. Müller

Achtung Altersbeschränkung
daVinci Video Psoas-Hitch - Uro-Bot.de
Beschreibung

Das nachfolgende Op-Video zeigt eine rechtsseitige distale Harnleiterteilresektion mit Harnleiterneueinpflanzung in der Psoas Hitch OP-Technik. Dazu wird die Harnblase auf der entsprechenden Seite nach seitlich nach oben gezogen und auf dem Musculus psoas befestigt, um die entfernte Harnleiterstrecke zu überbrücken.

Das nachfolgende Video einer durch Dr. Mirko Müller gemachten Operation am Knappschaftskrankenhaus in Bottrop demonstriert in kurzen Operationssequenzen wie eine solche Operation durchgeführt wird.

Terminvereinbarung Uro-Bot.de

Terminvereinbarung

Sie können bequem über unsere Online-Terminvereinbarung einen Termin zur Untersuchung vereingaren.