Niere
Nierenkarzinom

- Klinische Untersuchung
- Blut- und Urinuntersuchung
- Hochauflösender Ultraschall
- CT/MRT-Bildgebung
- Operative Therapie
- Medikamentöse Tumortherapie
Unter Berücksichtigung aller bösartigen Tumore machen Nierentumore 3 % aus. Am häufigsten treten sie im Alter zwischem dem 50. und 70. Lebensjahr auf. Bei mehr als 85 % aller bösartigen Nierentumore handelt es sich um sogenannte Nierenzellkarzinome. Bisher ist bekannt, dass mit zunehmender Industrialisierung einer Region, auch das Risiko an einem Nierentumor zu erkranken steigt. Die Ursache hierfür ist jedoch noch unbekannt. Alter, Rauchen, Alkoholkonsum und Übergewicht, sowie regelmäßige Einnahme von Schmerzmitteln, als auch Bluthochdruck scheinen das Risiko zu erhöhen. Ebenso langjährige Dialyse kann das Entstehen eines bösartigen Nierentumors begünstigen, insbesondere auch nach Nierentransplantation. Nierentumore treten familiär gehäuft auf, so dass die Genetik eine wichtige Rolle spielt. Es gibt verschiedene familiäre Syndrome, in deren Rahmen durch genetische Veränderungen vermehrt Tumore der Niere auftreten. Die Von-Hippel-Lindau-Erkrankung oder die Tuberöse Sklerose sind eine davon.
Unterteilt werden die Tumore nach ihrem Entstehungsort in der Niere.
Es handelt sich im Folgenden um:
- klarzellige Nierenzellkarzinome (70-80 %)
- papilläre Nierenzellkarzinome (10-15 %)
- chromophobe Nierenzellkarzinome (4-5 %)
- Duct-Bellini-Karzinome (<1 %)
Eine Ausnahme bildet das sogenannte Onkozytom. Dieser Tumor wird als gutartig eingestuft, da er nicht streut (metastasiert) und nur an Ort und Stelle wächst.
In den Frühstadien macht der Nierentumor keine Beschwerden und fällt daher nicht auf. Erst der bereits schon fortgeschrittene Tumor macht sich bemerkbar und führt zu Beschwerden:
- Schmerzlose Blutbeimengung im Urin (Makrohämaturie)
- Lokale Schmerzen in der Nierengegend
- Selten auch lokal tastbarer Tumor in der Flanke
Selten reicht eine klinische / körperliche Untersuchung aus, um einen Nierentumor zu entdecken. Auch Laboruntersuchungen von Blut und Urin sind selten richtungsweisend. Blut im Urin, Blutarmut (Anämie), zu viel Calcium im Blut (Hypercalciämie) oder Erhöhung anderer allgemeiner Blutwerte können Hinweise auf eine Tumorerkrankung der Niere sein, sind aber per se unspezifisch. Sogenannte Tumormarker, wie man sie von anderen Krebserkrankungen kennt, gibt es für Nierentumore nicht.
Vorwiegend werden Nierentumore durch sogenannte bildgebende Verfahren (Ultraschall, Computertomographie, Magnetresonanztomographie) meist zufällig diagnostiziert. Aufgabe dieser Techniken ist es, gutartige von bösartigen Veränderungen zu unterscheiden.
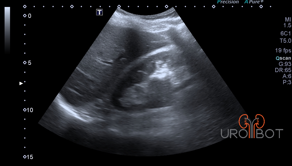
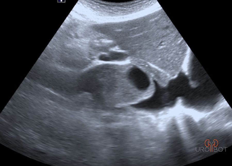
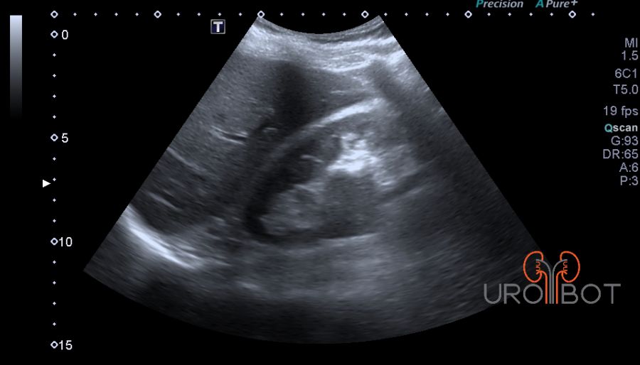
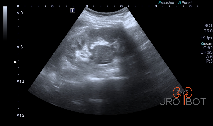
In der Früherkennung ist der Ultraschall die führende Untersuchung. Ab einer Größe von 2 cm kann man bereits bösartige Tumore von gutartigen Zysten unterscheiden. Doch obwohl die Qualität der heutigen Ultraschallgeräte stark zugenommen hat, wird man zu weiteren Unterscheidung und Klassifizierung radiologische Verfahren wie die CT (Computertomographie) oder aber die MRT (Magnetresonanztomographie) einsetzen.
Moderne Diagnostik
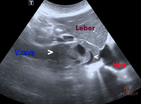
Video Tumorthrombus von Dr. Müller
Achtung Altersbeschränkung
Beschreibung
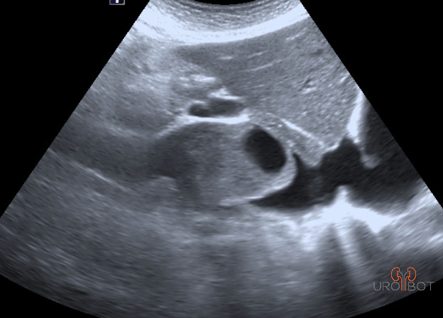
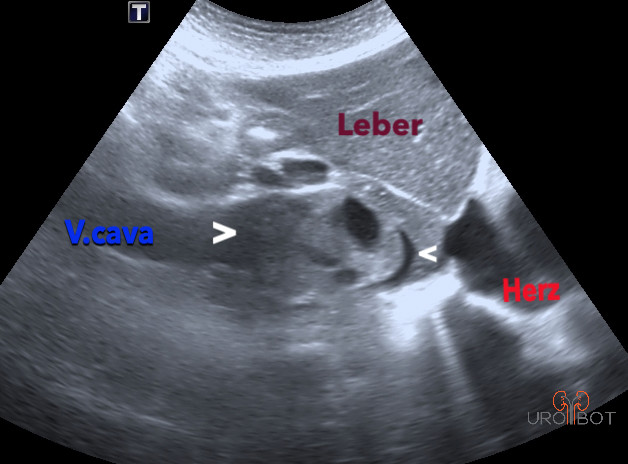
Das Video zeigt eine sonographische Untersuchung der rechen Seite mit Nachweis eines großen Tumorthrombus in der unteren Hohlvene.
OP-Video von Dr. Müller
Achtung Altersbeschränkung
Beschreibung
Das nachfolgende Op-Video zeigt eine rechtsseitige distale Harnleiterteilresektion mit Harnleiterneueinpflanzung in der Psoas Hitch OP-Technik. Dazu wird die Harnblase auf der entsprechenden Seite nach seitlich nach oben gezogen und auf dem Musculus psoas befestigt, um die entfernte Harnleiterstrecke zu überbrücken.
Das nachfolgende Video einer durch Dr. Mirko Müller gemachten Operation am Knappschaftskrankenhaus in Bottrop demonstriert in kurzen Operationssequenzen wie eine solche Operation durchgeführt wird.

Terminvereinbarung
Sie können bequem über unsere Online-Terminvereinbarung einen Termin zur Untersuchung vereingaren.